ÄÞºñ±³Á¤
Ȩ > Ä¡¾Æ±³Á¤ > ÄÞºñ±³Á¤
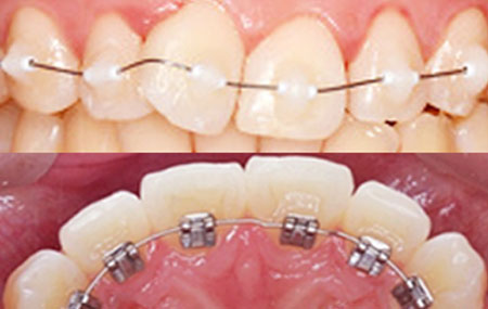
ÄÞºñ±³Á¤À̶õ?
ÄÞºñ±³Á¤Àº »ó¾Ç°ú ÇϾÇÄ¡¾ÆÀÇ Ä¡¾Æ»óÅ¿¡ µû¶ó °¢°¢ ´Ù¸¥ ÀåÄ¡¸¦ »ç¿ëÇÏ¿© ºñ¿ëÀº Àý°¨ÇÏ°í ½É¹Ì¼ºÀ» ³ôÀÌ´Â ±³Á¤¹æ¹ýÀÔ´Ï´Ù.
¸¹ÀÌ º¸ÀÌ´Â À´Ï¿¡´Â ¼³Ãø ±³Á¤ÀåÄ¡¸¦ ºÙÀÌ°í ´ú º¸ÀÌ´Â ¾Æ·§´Ï¿¡´Â ¹Ù±ùÂÊ¿¡ ±Ý¼Ó ¼¼¶ó¹Í ÀåÄ¡¸¦ ºÙ¿©¼ ½É¹Ì¼º°ú °æÁ¦¼º ºÎºÐÀ» ÀýÃæÇÑ Ä¡·áÀÔ´Ï´Ù.
´õÁÁÀº¼¿ïÄ¡°ú¿¡¼ ÄÞºñ±³Á¤Àº °¢°¢ ´Ù¸¥ ÀåÄ¡·Î ½É¹Ì¼ºÀ» ³ôÀÎ ÀåÄ¡! ¾ÈÀüÇÑ ±³Á¤Ä¡·á·Î ´ç½ÅÀÇ È¯ÇÑ ¹Ì¼Ò¸¦ ¾à¼Óµå¸³´Ï´Ù.
ÄÞºñ±³Á¤ÀÇ ÀåÁ¡
- À´Ï¸¦ ¼³ÃøÀåÄ¡·Î ³ëÃâÀ» ÃÖ´ëÇÑ ÁÙÀÏ ¼ö ÀÖ½À´Ï´Ù.
- Àüü ¼³Ãø±³Á¤ º¸´Ù ¹ßÀ½°ú À̹°°¨ÀÌ Àû½À´Ï´Ù.
- Àüü ¼³Ãø±³Á¤º¸´Ù ºñ¿ëÀÌ Àý°¨µË´Ï´Ù.
ÄÞºñ±³Á¤ ÀÌ·±ºÐµé²² ÃßõÇÕ´Ï´Ù.
- ´«¿¡ º¸ÀÌ´Â ±³Á¤ ÀåÄ¡°¡ ºÎ´ã½º·¯¿î ºÐ
- ¿Ü¸ð°¡ Áß¿äÇÑ Á÷¾÷À» °¡Áö½Å ºÐ
- Ãë¾÷À̳ª °áÈ¥À» ÁغñÇϽô ºÐ
- ¼³Ãø±³Á¤ÀÇ °¡°ÝÀÌ ºÎ´ã½º·¯¿ì½Å ºÐ >

