ºÎºÐ(2D)±³Á¤
Ȩ > Ä¡¾Æ±³Á¤ > ºÎºÐ(2D)±³Á¤
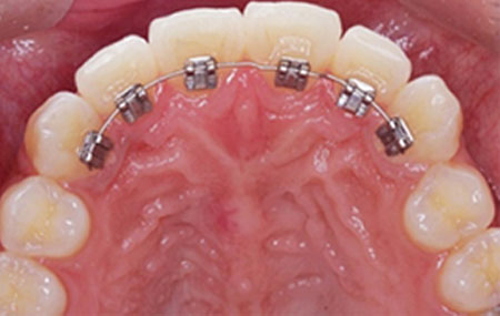
ºÎºÐ(2D)±³Á¤À̶õ?
2D¼³Ãø±³Á¤Àº ÀÏ¹Ý ¼³Ãø±³Á¤ ÀåÄ¡ÀÇ ºñÇØ 1/3 Å©±â·Î À̹°°¨ÀÌ °ÅÀÇ ¾ø¾î ¹ßÀ½»óÀÇ ¹®Á¦°¡ °ÅÀÇ ¾øÀ¸¸ç ÇÊ¿äÇÑ ºÎºÐ¿¡¸¸ ºÎºÐÀûÀ¸·Î ±³Á¤Ä¡·á¸¦ ÁøÇàÇÏ¿© ÀϹݱ³Á¤¿¡ ºñÇÏ¿© ½Ã°£°ú ºñ¿ëÀ» Àý¾àÇÒ ¼ö ÀÖ½À´Ï´Ù.
ÁÖ·Î ÀüÄ¡ºÎ ¾Õ´Ï¿¡ Àû¿ëÇÏ¸ç ¹ú¾îÁøÄ¡¾Æ, »ß¶Ô¾îÁøÄ¡¾Æ, µ¹ÃâÄ¡¾Æµî º¸ÀÌÁö ¾Ê´Â ¼³Ãø±³Á¤À¸·Î ±³Á¤ÀÌ °¡´ÉÇÕ´Ï´Ù. 1.3mmÀÇ ¾ãÀº ºê¶óÄÏÀ¸·Î À̹°°¨ÀÌ ÀûÀ¸¸ç Àüü±³Á¤ÀÇ ºñÇØ ºÎºÐÀûÀ¸·Î ±³Á¤Çϱ⠶§¹®¿¡ ºñ¿ëÀÌ Àú·ÆÇÕ´Ï´Ù.
´õÁÁÀº¼¿ïÄ¡°ú¿¡¼ ºÎºÐ(2D)±³Á¤Àº Àú·ÅÇÑ ºñ¿ë°ú ªÀº ±³Á¤±â°£! °í¸£Áö ¸øÇÑ Ä¡¾Æ¸¸ ¼±ÅÃÀûÀ¸·Î ±³Á¤Ä¡·áÇÕ´Ï´Ù.
ºÎºÐ(2D)±³Á¤ÀÇ ÀåÁ¡
- Àüü±³Á¤º¸´Ù ºÎºÐ±³Á¤À¸·Î ºñ¿ëÀÌ Àú·ÅÇÕ´Ï´Ù.
- 6~12°³¿ù·Î ±³Á¤±â°£ÀÌ Âª½À´Ï´Ù.
- ¼³Ãø±³Á¤¹æ½ÄÁß ±³Á¤ÀåÄ¡°¡ °¡Àå ¾ã½À´Ï´Ù.
- À̹°°¨À̳ª ¹ßÀ½¿¡ ºÒÆíÇÔÀÌ Àû½À´Ï´Ù.
ºÎºÐ(2D)±³Á¤ ÀÌ·±ºÐµé²² ÃßõÇÕ´Ï´Ù.
- ºÎºÐÀûÀ¸·Î¸¸ Ä¡¾Æ±³Á¤ÀÌ ÇÊ¿äÇϽŠºÐ
- ±³Á¤ Ä¡·á ±â°£ÀÌ ºÎ´ã½º·¯¿ì½Å ºÐ
- ¹ßÄ¡ ±³Á¤ÀÌ ºÎ´ã½º·¯¿ì½Å ºÐ
- ÀÏ¹Ý Ä¡¾Æ ±³Á¤ ºñ¿ëÀÌ ºÎ´ã½º·¯¿ì½Å ºÐ

